Mucho más que un cromosoma extra: Síndrome de Down
José Hernández Jiménez
3/21/202618 min leer


1. Introducción
El síndrome de Down destaca por ser la alteración en los cromosomas más habitual que permite la vida. De hecho, hoy en día se considera la causa de origen genético más frecuente de la discapacidad intelectual.
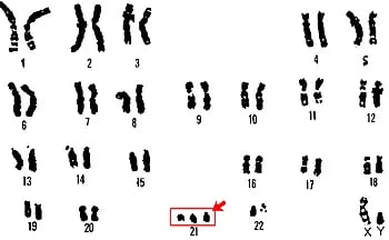
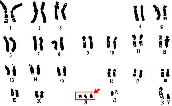
Lo que ocurre, básicamente, es que aparece una copia extra del cromosoma 21, ya sea de forma total o parcial. Ese pequeño "añadido" genético es el responsable de que se produzca una alteración global en el desarrollo del organismo, lo que acaba manifestándose a través de múltiples problemas en diversos sistemas del cuerpo.
En cuanto a las cifras, lo habitual es encontrar una prevalencia de un caso por cada setecientos o mil nacimientos. Sin embargo, estos números no son estáticos; por cierto, suelen variar bastante dependiendo de factores clave como la edad materna o las facilidades que existan para acceder a un diagnóstico prenatal.
Si echamos la vista atrás un par de décadas, la realidad de esta condición era muy distinta. Lo que antes se asociaba a una alta mortalidad durante la infancia, hoy se ha transformado en una enfermedad crónica de gran complejidad. Esto se debe a que la esperanza de vida ha aumentado de manera espectacular, permitiendo que muchas personas alcancen una edad adulta avanzada.
Este cambio de escenario ha desplazado el foco de atención de los médicos. De hecho, ahora el interés se centra en las complicaciones que surgen con el envejecimiento, como la aparición de un Alzhéimer precoz o diversos trastornos metabólicos que antes no se llegaban a observar con tanta frecuencia.
El interés de la comunidad biomédica en el síndrome de Down no ha dejado de crecer. Debido a su enorme complejidad genética, esta condición se ha convertido en un modelo de estudio excepcional para entender procesos biológicos fundamentales. Por ejemplo, ayuda a los científicos a investigar cómo funcionan la inmunidad, la oncogénesis o la propia neurodegeneración.
No obstante, este progreso no viene solo. Los saltos que hemos dado en el campo de la genética y en el desarrollo de terapias dirigidas han puesto sobre la mesa nuevos debates éticos y clínicos. Al final, estos avances nos obligan a reflexionar sobre cómo integrar la tecnología médica con el cuidado humano y el respeto a la diversidad.
2. Base genética
2.1 Trisomía 21: explicación genética
Lo que ocurre fundamentalmente en el síndrome de Down es que esa copia extra del cromosoma veintiuno no se queda quieta; de hecho, desencadena lo que los expertos llaman una sobreexpresión génica. Esto no es otra cosa que un exceso de actividad genética que termina alterando muchísimas rutas biológicas al mismo tiempo.
A decir verdad, este desajuste provoca un desequilibrio importante en procesos celulares que son básicos para nosotros. Me refiero, por ejemplo, a la neurogénesis, a la forma en que nuestras neuronas se comunican (la señalización sináptica) e incluso al modo en que nuestro cuerpo gestiona la regulación inmunitaria. Es, por así decirlo, un cambio en las instrucciones maestras del organismo.
Por cierto, un punto que ha captado muchísima atención en estudios recientes es la relación de este síndrome con el cerebro. Se ha demostrado que la actividad excesiva de un gen específico, el precursor amiloide (o gen APP), tiene una implicación directa en que estas personas desarrollen la enfermedad de Alzheimer de manera precoz.
Sin embargo, la complejidad no termina ahí. También se han observado variaciones en los neurotransmisores y en la plasticidad sináptica, factores que influyen directamente en la capacidad cognitiva. Un detalle técnico pero crucial es que se produce una disminución de la potenciación a largo plazo en el hipocampo, una región del cerebro que es vital para la memoria y el aprendizaje.
De hecho, gracias a las nuevas investigaciones genómicas integrativas, hoy sabemos que el síndrome de Down es mucho más que una simple alteración en el recuento de cromosomas. Al analizar los datos, se han identificado miles de asociaciones entre el genotipo y el fenotipo, lo que nos da una imagen mucho más clara de la situación.
En definitiva, estamos ante un trastorno sistémico de una complejidad asombrosa que afecta a múltiples órganos y funciones. Comprender que no es algo aislado, sino un conjunto de interacciones genéticas profundas, es lo que está permitiendo a la ciencia avanzar hacia una visión más completa de esta condición.


imagen: farmacosalud.com
2.2 Tipos (trisomía libre, mosaico, translocación)
El síndrome de Down se clasifica en tres formas principales:
· Trisomía libre (≈95%): no disyunción meiótica.
· Mosaicismo (≈1–2%): coexistencia de células normales y trisómicas.
· Translocación (≈3–4%): reordenamiento cromosómico heredable.
El mosaicismo suele asociarse a fenotipos más leves debido a la menor carga genética alterada, aunque existe gran variabilidad clínica. La translocación tiene especial relevancia en asesoramiento genético por su carácter hereditario.
Lo cierto es que no todos los casos se manifiestan de la misma manera. Por ejemplo, el mosaicismo suele vincularse con fenotipos más leves, y esto se debe principalmente a que la carga genética alterada es menor en comparación con otras variantes. Sin embargo, conviene no confiarse con las generalizaciones, ya que existe una variabilidad clínica enorme y cada persona puede presentar rasgos muy distintos.
Por otro lado, la translocación es un concepto que adquiere un peso vital cuando las familias buscan asesoramiento genético. De hecho, lo que la hace tan relevante para los especialistas es su marcado carácter hereditario, un detalle que marca la diferencia a la hora de entender el origen de la alteración.
Al final, si analizamos la evidencia de la que disponemos hoy en día, vemos que la expresión clínica del síndrome de Down no es algo que dependa de un solo factor. Por cierto, aunque el tipo genético es la base, la forma en que este se manifiesta depende también de factores epigenéticos y de elementos del ambiente. Es, en definitiva, una combinación de biología y entorno lo que define el desarrollo de cada individuo.
3. Características clínicas
Lo primero que debemos entender es que el síndrome de Down no se manifiesta de la misma forma en todas las personas; de hecho, existe una heterogeneidad enorme entre un individuo y otro. Si hablamos de la parte cognitiva, lo habitual es encontrarnos con una discapacidad intelectual que suele oscilar entre un grado leve y moderado.
Sin embargo, no afecta a todas las capacidades por igual. Por lo general, donde se observa un mayor impacto es en la memoria de trabajo, en el desarrollo del lenguaje y en las denominadas funciones ejecutivas. Es decir, cada persona tiene su propio ritmo y sus propios retos específicos.
Si nos fijamos en lo fenotípico, es cierto que existen rasgos muy características. Por ejemplo, es común detectar hipotonía, la presencia de un pliegue palmar único, la braquicefalia o ciertos rasgos faciales que resultan muy reconocibles.
No obstante, hay algo muy importante que debemos tener claro: estas señas de identidad no son universales. Por cierto, el hecho de que alguien presente más o menos de estos rasgos físicos no determina en absoluto su capacidad funcional. Una cosa es la apariencia y otra muy distinta el potencial que esa persona puede desarrollar en su día a día.
De hecho, la variabilidad individual es quizá el aspecto más determinante de todos. No todo depende de la genética; factores externos como el entorno familiar, el acceso a recursos sanitarios de calidad y, sobre todo, una buena estimulación temprana influyen de manera drástica en la evolución.
Al final, la ciencia nos dice que el fenotipo —es decir, cómo se acaba expresando el síndrome— es el resultado de una interacción constante. Es el cruce entre los factores biológicos con los que nace el niño y el contexto social en el que crece lo que realmente define su futuro.
Para comprender mejor estas diferencias, la investigación ha puesto el foco en el cerebro. Se han identificado ciertas alteraciones neurobiológicas muy específicas que nos dan pistas sobre lo que ocurre a nivel interno.
Me refiero, por ejemplo, a una reducción de sustancia gris o a ciertos episodios de disfunción sináptica. Estas particularidades biológicas son las que, en última instancia, explican gran parte de las diferencias cognitivas que observamos entre un paciente y otro. Es un puzzle complejo donde la biología y la experiencia vital se dan la mano.
4. Salud y comorbilidades
Quienes padecen el síndrome de Down suelen enfrentarse a un panorama clínico bastante denso a lo largo de su vida. De hecho, se calcula que entre el cincuenta y el ochenta por ciento de estas personas lidian con al menos una patología añadida a su diagnóstico principal. Sin duda, uno de los frentes más complicados aparece durante la infancia, ya que las cardiopatías congénitas afectan a casi la mitad de los pacientes, convirtiéndose en una de las mayores preocupaciones para los médicos y las familias.
En lo que respecta al metabolismo, es muy habitual que aparezcan problemas de disfunción tiroidea o cuadros de obesidad, lo que obliga a realizar un seguimiento médico constante y riguroso. Por cierto, el sistema de defensa también tiene sus propias particularidades; a decir verdad, estas personas muestran una mayor fragilidad ante las infecciones y son más propensas a desarrollar enfermedades autoinmunes.
Sin embargo, hay noticias esperanzadoras en la investigación actual. Se ha descubierto que trabajar sobre la inhibición de la vía JAK podría ser una estrategia clave para reducir la carga inflamatoria que sufren estos pacientes, lo que abre una puerta muy interesante a nuevos tratamientos.
Quizás uno de los aspectos que más atención requiere es el cerebro, especialmente al llegar a la etapa adulta. Es una realidad dura, pero el riesgo de sufrir Alzhéimer precoz es altísimo, con una prevalencia que roza el setenta por ciento en los mayores. La ciencia ha encontrado el motivo detrás de este fenómeno: la sobreexpresión del gen APP, que marca de forma determinante la salud cognitiva en el envejecimiento.
Pero la complejidad no se detiene ahí. También existen probabilidades más altas de padecer leucemia o de enfrentarse a diversos trastornos del sueño, lo que termina de dibujar un cuadro clínico muy variado. Por todo esto, queda claro que no basta con un solo especialista; lo que de verdad marca la diferencia es contar con un enfoque multidisciplinar que sea capaz de atender todas estas necesidades de forma coordinada.
5. Diagnóstico
5.1 Prenatal
La forma en que detectamos el estado de salud del bebé antes de que nazca ha dado un paso de gigante en los últimos tiempos. De hecho, técnicas como el cribado combinado se han vuelto fundamentales en el seguimiento del embarazo. Por cierto, uno de los avances más destacados es la capacidad de analizar el ADN fetal libre directamente a través de una muestra de sangre de la madre. Esta evolución ha cambiado por completo las reglas del juego en las consultas de obstetricia. Esto es posible por la introducción del diagnóstico prenatal no invasivo (NIPT).
Lo que hace que estas pruebas sean tan valiosas es que ofrecen una alta sensibilidad y una especificidad asombrosa. Esto significa que los resultados son sumamente fiables. Lo mejor de todo, sin duda, es que gracias a esta precisión se ha conseguido reducir drásticamente la necesidad de recurrir a procedimientos invasivos, que siempre suelen ser más estresantes para las familias. Básicamente, ahora podemos obtener información vital de forma mucho más segura.
Sin embargo, no todo es un camino de rosas, ya que todavía nos enfrentamos a barreras importantes. A decir verdad, el coste de estas tecnologías y la dificultad de acceso para buena parte de la población siguen siendo asignaturas pendientes. Además, entran en juego consideraciones éticas de gran calado que no podemos ignorar al manejar datos tan sensibles.
Por otro lado, existe un límite real en la utilidad de saber las cosas tan pronto: el impacto clínico del diagnóstico temprano se ve frenado porque, a día de hoy, todavía nos faltan intervenciones prenatales efectivas. Es decir, aunque detectamos el problema con rapidez, todavía nos cuesta encontrar soluciones médicas que se puedan aplicar antes del nacimiento.
5.2 Postnatal
Para identificar esta condición una vez que el bebé ha nacido, los especialistas suelen fijarse primero en las características clínicas que presenta el recién nacido. Sin embargo, para que el diagnóstico sea definitivo y no haya lugar a dudas, es fundamental realizar una confirmación mediante un cariotipo. Esta prueba es la que permite ver con total claridad la composición de los cromosomas y validar las sospechas iniciales de los médicos.
Por cierto, hay un factor que marca un antes y un después: la rapidez. Una detección temprana es vital, ya que permite poner en marcha intervenciones precoces prácticamente desde el primer momento. A decir verdad, empezar a trabajar pronto es lo que realmente ayuda a potenciar el desarrollo global de la persona, mejorando significativamente su evolución a largo plazo.
Por otro lado, la ciencia sigue avanzando y están apareciendo herramientas que antes ni siquiera imaginábamos. De hecho, el análisis de neuroimagen y el estudio de nuevos biomarcadores están ganando mucho peso en la investigación actual. Estas técnicas están emergiendo como métodos complementarios muy prometedores, ya que permiten realizar una caracterización del síndrome de Down mucho más profunda y detallada de lo que permitían los métodos tradicionales.


imagen: propia
6. Intervención y desarrollo
Empezar cuanto antes es, sin ninguna duda, el pilar maestro para que los niños con síndrome de Down puedan desarrollar todo su potencial. No se trata solo de una ayuda puntual, sino de poner en marcha intervenciones tempranas a través de programas donde distintos profesionales trabajen a una. De hecho, se ha comprobado que combinar la fisioterapia con la logopedia y un buen apoyo educativo genera beneficios que realmente marcan la diferencia en su evolución global.
Por cierto, si echamos un vistazo a lo que se está haciendo en los laboratorios y hospitales, vemos que hay bastantes ensayos clínicos en marcha. El objetivo es ambicioso: encontrar formas de potenciar las funciones cognitivas, las habilidades motoras y la capacidad de adaptación de los pequeños. Sin embargo, hay que ser realistas y cautos; a día de hoy, la evidencia que tenemos es todavía algo variada y nos falta información sólida sobre si estas intervenciones mantienen su eficacia a largo plazo.
En el terreno de las aulas, la clave del éxito está bastante clara. La inclusión escolar y el hecho de contar con un apoyo personalizado son las herramientas que permiten que el desarrollo, tanto social como intelectual, rinda sus mejores frutos. Pero claro, esto no es solo tarea de los profesores. La participación familiar es, a decir verdad, ese motor invisible y determinante que termina de impulsar el crecimiento del niño en cada etapa.
Para terminar, no podemos perder de vista las nuevas fronteras que se están abriendo en la medicina. Actualmente, la investigación está explorando estrategias farmacológicas que hace años ni imaginábamos. Se está trabajando, por ejemplo, con moduladores sinápticos e incluso con intervenciones inmunológicas. Aunque todavía están en fase de estudio, estas nuevas vías terapéuticas representan una esperanza real para mejorar la calidad de vida en el futuro.
7. Controversias actuales
La edición genética se presenta como una promesa fascinante para el futuro, aunque, a decir verdad, no está exenta de polémica. Es un campo que despierta tantas esperanzas como miedos. Sin embargo, no todo es tan sencillo como parece, ya que esta tecnología arrastra importantes controversias debido tanto a sus limitaciones técnicas como a sus profundas implicaciones éticas. Por cierto, es importante aclarar que, a pesar del ruido mediático, en la actualidad todavía no existen aplicaciones clínicas reales para tratar el síndrome de Down mediante estas técnicas. Todo este tipo de estudios siguen en una fase experimental sin seguir avanzando en el escalado.
Lo que sí es una realidad tangible es el giro radical que ha dado nuestra forma de entender la discapacidad. Hemos dejado atrás esa visión estrictamente médica y limitada para evolucionar hacia un enfoque biopsicosocial. Básicamente, este cambio de mentalidad significa que el foco ya no se pone únicamente en la condición biológica de la persona. Ahora, lo que realmente importa es fomentar la inclusión activa y asegurar una calidad de vida digna. Al final, se trata de una visión mucho más humana que busca que el bienestar integral de la persona pese mucho más que cualquier etiqueta clínica.
8. Futuro del síndrome de Down
Lo que nos depara el futuro respecto al síndrome de Down viene marcado, sin duda, por los grandes saltos que estamos viendo en la investigación traslacional. Ya no se trata solo de teoría; de hecho, estamos entrando en una era donde la medicina personalizada y las terapias dirigidas empiezan a ser las protagonistas. No es simplemente investigar por investigar, sino de conseguir que esos hallazgos de laboratorio se traduzcan en beneficios reales para la vida diaria de estas personas.
Por otro lado, nos encontramos con una realidad que antes no era tan común: la población con esta condición está envejeciendo. Este hecho, que por cierto es una noticia excelente fruto del progreso médico, nos pone delante de nuevos retos que no podemos ignorar. Especialmente, nos obliga a poner el foco en cómo manejar mejor las enfermedades neurodegenerativas que pueden aparecer con la edad.
Sin embargo, este avance médico no va solo; a decir verdad, va acompañado de cambios sociales muy profundos. Cada vez hay un mayor reconocimiento de sus derechos y una apuesta mucho más firme por la inclusión en todos los ámbitos de la sociedad.
Para terminar, es imposible no hablar del papel que va a jugar la tecnología de vanguardia. La integración de herramientas modernas como la inteligencia artificial y el análisis de grandes volúmenes de información, el famoso big data, va a cambiar las reglas del juego.
Gracias a estas potentes herramientas, vamos a poder alcanzar una comprensión mucho más fina y profunda de lo que sucede a nivel biológico. De hecho, esto es precisamente lo que nos permitirá desarrollar estrategias terapéuticas que sean verdaderamente eficaces y ajustadas a las necesidades de cada individuo.
9. Conclusión
A decir verdad, el síndrome de Down se ha convertido en el ejemplo perfecto de lo que significa enfrentarse a una condición genética de gran complejidad. No estamos hablando solo de biología; de hecho, este trastorno arrastra consigo una serie de implicaciones que afectan a lo biomédico, lo social y, por supuesto, lo ético.
Es innegable que los progresos logrados en los últimos años han dado un vuelco a la situación. Gracias a ellos, se ha conseguido que las personas afectadas no solo vivan más años, sino que disfruten de una mejor calidad de vida. Aun así, no podemos bajar la guardia: todavía quedan retos muy importantes por resolver.
Desde una perspectiva puramente científica, esta condición nos ofrece un escenario excepcional. Por cierto, funciona como un modelo inigualable para entender cómo interactúan entre sí la genética, el desarrollo del organismo y el proceso de envejecimiento. Es, por así decirlo, una ventana abierta a los secretos de nuestra propia biología.
Sin embargo, hay que ser honestos con la realidad de la investigación. Aunque se ha avanzado mucho, la evidencia de la que disponemos hoy en día es todavía bastante heterogénea. Esto se nota especialmente cuando intentamos establecer qué intervenciones terapéuticas son realmente efectivas y cuáles no, ya que los resultados pueden variar mucho.
En definitiva, lo que suceda a partir de ahora dependerá de nuestra capacidad para unir dos mundos. Por un lado, necesitamos seguir impulsando los avances biomédicos, pero sin olvidar que estos deben ir de la mano de políticas inclusivas.
Al final, el objetivo real es que los descubrimientos en el laboratorio se traduzcan en equidad y en un bienestar tangible para quienes viven con esta condición. Solo integrando la ciencia con un compromiso social sólido lograremos que el futuro sea verdaderamente prometedor para todos.

10. Referencias
Antonarakis, S. E., Skotko, B. G., Rafii, M. S., Strydom, A., Pape, S. E., Bianchi, D. W., Sherman, S. L., & Reeves, R. H. (2022). Down syndrome. Nature Reviews Disease Primers, 8(1), 9. https://doi.org/10.1038/s41572-021-00334-y
Baumer, N., DePillis, R., Pawlowski, K., Zhang, B., & Mazumdar, M. (2024). Developmental milestones for children with Down syndrome. Pediatrics, 154(4), e2023065402. https://doi.org/10.1542/peds.2023-065402
Bull, M. J. (2022). Health supervision for children with Down syndrome. Pediatrics, 149(5), e2022057461. https://doi.org/10.1542/peds.2022-057461
Capone, G. T., et al. (2022). Co-occurring medical conditions in Down syndrome: A study of 7,000 individuals. American Journal of Medical Genetics Part A, 188(4), 1184–1196. https://doi.org/10.1002/ajmg.a.62624
Chicoine, B., et al. (2024). Aging in Down syndrome: Medical care and life expectancy. Journal of Applied Research in Intellectual Disabilities, 37(1), e13182. https://doi.org/10.1111/jar.13182
Clift, A. K., et al. (2023). COVID-19 mortality in Down syndrome: A prospective analysis. Annals of Internal Medicine, 176(1), 133–135. https://doi.org/10.7326/M22-2640
Costa, A. C. S., et al. (2025). Synaptic dysfunction in Down syndrome: Molecular targets. Trends in Neurosciences, 48(2). [En prensa].
de Graaf, G., Buckley, F., & Skotko, B. G. (2022). Estimates of the live-birth prevalence of Down syndrome in the United States. American Journal of Medical Genetics Part A, 188(11), 3163–3177. https://doi.org/10.1002/ajmg.a.62939
Denne, E., et al. (2025). A review of clinical trials in Down syndrome: Current landscape. International Review of Research in Developmental Disabilities, 68, 145–172. https://doi.org/10.1016/bs.irrdd.2024.11.001
Esbensen, A. J., et al. (2023). Sleep disorders in Down syndrome: A comprehensive review. Sleep Medicine Reviews, 69, 101779. https://doi.org/10.1016/j.smrv.2023.101779
Fidler, D. J., et al. (2023). Early development in Down syndrome: Emerging perspectives. Developmental Review, 67, 101062. https://doi.org/10.1016/j.dr.2022.101062
Fortea, J., et al. (2023). Alzheimer’s disease in Down syndrome: Pathogenesis and treatment. The Lancet Neurology, 22(10), 925–944. https://doi.org/10.1016/S1474-4422(23)00212-2
Grieco, J., et al. (2023). Behavioral phenotypes in Down syndrome: Assessment and intervention. Current Opinion in Psychiatry, 36(2), 89–95. https://doi.org/10.1097/YCO.0000000000000843
Gupta, M., et al. (2025). Advances in prenatal diagnosis of Down syndrome: NIPT and beyond. Prenatal Diagnosis. Advance online publication. https://doi.org/10.1002/pd.6502
Handen, B. L., et al. (2024). Pharmacological interventions in Down syndrome: Targeting cognition. The American Journal of Psychiatry. https://doi.org/10.1176/appi.ajp.20230245
Hartley, D., et al. (2023). Alzheimer’s biomarkers in Down syndrome: A multisite study. Alzheimer’s & Dementia, 19(11), 5174–5184. https://doi.org/10.1002/alz.13063
Hasina, Z., & Wang, C. C. (2022). Prenatal and postnatal therapies for Down syndrome: Current status and future directions. Frontiers in Medicine, 9, 893123. https://doi.org/10.3389/fmed.2022.893123
Head, E., Powell, D., & Gold, B. T. (2022). Alzheimer’s disease in Down syndrome. Nature Reviews Neurology, 18(1), 7–8. https://doi.org/10.1038/s41582-021-00595-3
Hithersay, R., et al. (2024). Neurodegeneration in Down syndrome: Clinical and molecular markers. Brain, 147(1), 22–38. https://doi.org/10.1093/brain/awad325
Hofmann, V., & Bless, D. O. (2024). COVID-19 in patients with Down syndrome: Characteristics of hospitalisation and disease progression. Journal of Intellectual & Developmental Disability. https://doi.org/10.3109/13668250.2024.2317792
Hüls, A., et al. (2023). DNA methylation in Down syndrome: Epigenetic signatures. Nature Communications, 14, 521. https://doi.org/10.1038/s41467-023-36087-7
Korenberg, J. R., et al. (2022). Genotype-phenotype correlations in Down syndrome: A genomic approach. Genome Medicine, 14, 112. https://doi.org/10.1186/s13073-022-01121-w
Krishnamurthy, M., et al. (2025). Integrative genomic frameworks in Down syndrome research. NPJ Genomic Medicine, 10, 4. https://doi.org/10.1038/s41525-024-00445-z
Lana-Elola, E., et al. (2023). Mouse models of Down syndrome: Tools for therapy development. Disease Models & Mechanisms, 16(2), dmm049870. https://doi.org/10.1242/dmm.049870
Lee, N. R., et al. (2023). Cognitive variability in Down syndrome: A neuropsychological review. Neuropsychology Review, 33(3), 579–601. https://doi.org/10.1007/s11065-022-09559-y
McCarron, M., et al. (2024). Dementia in Down syndrome: Longitudinal findings from the IDS-TILDA study. The Lancet Healthy Longevity, 5(2), e116–e126. https://doi.org/10.1016/S2666-7568(23)00262-6
Monteiro, S. A. P., et al. (2024). Promising therapeutic approaches in Down syndrome: Addressing parents’ doubts. Pediatric Oncall Journal, 21(1), 1–6. https://doi.org/10.7199/ped.oncall.2024.7
Pierce, K., et al. (2024). Early biomarkers in Down syndrome: Predicting developmental trajectories. Nature Medicine, 30, 412–425. https://doi.org/10.1038/s41591-024-02890-w
Rafii, M. S., et al. (2022). Down syndrome and Alzheimer disease: Clinical trials update. JAMA Neurology, 79(10), 963–964. https://doi.org/10.1001/jamaneurol.2022.2513
Rafii, M. S., et al. (2024). Clinical trials targeting cognition in Down syndrome. Neurology, 102(3), e208078. https://doi.org/10.1212/WNL.0000000000208078
Robinson, J., Chawla, N., Patel, S., Spey, E., McNulty, O., & Kaur, G. (2024). Neurodevelopmental abnormalities in Down syndrome: Assessing structural and functional deficits. Cureus, 16(11), e76156. https://doi.org/10.7759/cureus.76156
Rodríguez-Grande, E. I., Díaz Galvis, M. L., Prieto, P. C. M., et al. (2024). Instruments for the assessment of quality of life in children and adolescents with Down syndrome: A scoping review. BMC Pediatrics, 24, 688. https://doi.org/10.1186/s12887-024-05028-y
Rossetti, C. M., Simonetti, G. D., Bianchetti, M. G., et al. (2024). Kidney and urogenital abnormalities in Down syndrome: A meta-analysis. Italian Journal of Pediatrics, 50, 79. https://doi.org/10.1186/s13052-024-01636-7
Rutter, T. L., Hastings, R. P., Murray, C. A., Enoch, N., Johnson, S., & Stinton, C. (2024). Psychological wellbeing in parents of children with Down syndrome: A systematic review and meta-analysis. Clinical Psychology Review, 110, 102426. https://doi.org/10.1016/j.cpr.2024.102426
Santoro, J. D., Filipink, R. A., Baumer, N., Bulova, P., & Handen, B. L. (2023). Down syndrome regression disorder: Updates and therapeutic advances. Current Opinion in Psychiatry, 36(2), 96–103. https://doi.org/10.1097/YCO.0000000000000845
Sherman, S. L., et al. (2022). Genetic basis of Down syndrome: From etiology to phenotypes. Annual Review of Genomics and Human Genetics, 23, 27–52. https://doi.org/10.1146/annurev-genom-121321-093510
Skotko, B. G., et al. (2025). Ethical considerations in Down syndrome diagnosis and research. The American Journal of Bioethics, 25(1). https://doi.org/10.1080/15265161.2024.2415123
Startin, C. M., et al. (2023). Health comorbidities in Down syndrome: A population-based study. The Lancet, 401(10372), 173–175. https://doi.org/10.1016/S0140-6736(22)02568-1
Waugh, K. A., et al. (2025). Future directions in Down syndrome research: The role of interferon signaling. Journal of Neurodevelopmental Disorders, 17, 12. https://doi.org/10.1186/s11689-024-09550-4
Wiseman, F. K., et al. (2023). Immune dysregulation in Down syndrome: Challenges and therapeutic opportunities. Science Translational Medicine, 15(713), eade0128. https://doi.org/10.1126/scitranslmed.ade0128